最近有個朋友因為腹痛掛急診,結果診斷出急性胰線炎,住院了好幾天。他之前一直以為是胃痛,吃點胃藥就沒事了,沒想到這麼嚴重。這讓我想到,胰線炎這個病,很多人都不太了解,但其實它挺常見的,而且如果忽略症狀,後果可能很麻煩。今天我就來聊聊胰線炎,從症狀、原因、治療到預防,幫你搞清楚這個沉默器官的發炎危機。
快速導覽
胰線炎是什麼?瞭解這個沉默器官的發炎危機
胰線炎,簡單說就是胰腺發炎了。胰腺這個器官,位置在胃的後面,負責分泌消化酶和胰島素,幫助消化和調節血糖。當它發炎時,消化酶會開始消化胰腺自己,導致組織損傷。這可不是鬧著玩的。
胰線炎分兩種:急性和慢性。急性胰線炎來得快,症狀明顯,但大多可以治好;慢性胰線炎則是長期發炎,可能慢慢損壞胰腺功能,甚至導致糖尿病或營養不良。根據衛生福利部國民健康署的資料,胰線炎在台灣的發生率有上升趨勢,這跟飲食習慣改變有關。
急性胰線炎 vs. 慢性胰線炎
急性胰線炎通常突然發生,症狀包括劇烈腹痛、噁心嘔吐,可能需要住院治療。慢性胰線炎則是反覆發炎,症狀較隱匿,比如長期腹痛、體重減輕、脂肪便(大便油油的)。很多人把慢性胰線炎當成腸胃問題,拖久了才發現。
胰線炎症狀全盤點:別再誤認為胃痛
胰線炎的症狀,最典型的就是腹痛,但位置和感覺有點特別。急性胰線炎的痛,常在上腹部,可能輻射到背部,感覺像被刀割或燒灼,吃東西後更痛。慢性胰線炎的痛則比較持續,飯後加重。
其他症狀還包括噁心、嘔吐、發燒、心跳加快。如果胰線炎嚴重,可能導致休克或器官衰竭。這裡有個新手常犯的錯誤:很多人以為腹痛就是胃痛,自己買胃藥吃。但胰線炎的痛,通常不會因為吃胃藥而緩解,反而可能耽誤治療。
急性胰線炎的典型症狀
- 劇烈上腹痛:痛到無法忍受,常向背部放射。
- 噁心嘔吐:吃什麼吐什麼,連水都可能吐出來。
- 發燒和心跳加速:身體發炎反應的表現。
慢性胰線炎的隱匿信號
- 長期腹痛:時好時壞,飯後明顯。
- 體重減輕:因為消化吸收不良。
- 脂肪便:大便浮在水面,有油光,這點很少人注意到。
胰線炎原因深度探討:飲食、酒精與疾病關聯
胰線炎的原因很多,最常見的是膽結石和過量飲酒。膽結石阻塞胰管,導致胰酶無法排出而發炎;酒精則直接刺激胰腺。其他原因包括高血脂、某些藥物、感染或自體免疫疾病。
我發現一個微妙錯誤:有些人以為只有酗酒才會得胰線炎,但其實一次大量飲酒或高脂肪大餐就可能引發急性發作。特別是台灣人愛吃油炸和聚餐,風險不低。
| 常見原因 | 說明 | 風險程度 |
|---|---|---|
| 膽結石 | 結石阻塞胰管,佔急性胰線炎約40%病例 | 高 |
| 酒精過量 | 長期飲酒或單次暴飲,刺激胰腺發炎 | 高 |
| 高血脂 | 尤其是三酸甘油脂過高,血液黏稠影響胰腺血流 | 中 |
| 藥物影響 | 某些類固醇或利尿劑,但較少見 | 低 |
根據美國國家衛生研究院的研究,酒精相關胰線炎在男性中更常見,而膽結石相關則在女性中較多。這提醒我們,預防要針對個人風險調整。
如何診斷胰線炎?檢查項目與就醫指南
如果你有疑似症狀,別拖,趕快看醫生。通常會掛腸胃科或急診。醫生會先問病史,做身體檢查,按壓腹部看痛點。
診斷胰線炎,主要靠血液檢查和影像學檢查。血液檢查會測澱粉酶和脂肪酶,這兩種酶在胰線炎時會升高。但注意,升高不一定就是胰線炎,其他疾病也可能,所以需要影像確認。
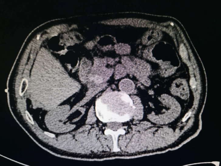
影像檢查包括超音波、電腦斷層(CT)或磁振造影(MRI)。超音波可以看膽結石,CT則能詳細顯示胰腺發炎程度。我有個朋友做CT後,醫生發現胰腺周圍有積液,確診為中度急性胰線炎。
一個實用建議:就醫時,詳細告訴醫生你的飲食習慣、飲酒史和症狀變化,這能幫助醫生更快判斷。
胰線炎治療方法:急性期與慢性期的處理策略
治療胰線炎,目標是緩解症狀、支持器官功能、預防併發症。急性胰線炎通常需要住院,慢性則著重長期管理。
藥物治療
急性期,醫生會給止痛藥(如非類固醇抗炎藥)、靜脈輸液補充水分,有時用抗生素預防感染。如果膽結石引起,可能需要內視鏡移除結石。
慢性胰線炎,則用胰酶補充劑幫助消化,控制疼痛。但止痛藥要小心,避免成癮。
手術選項
如果併發症如假性囊腫或阻塞嚴重,可能需要手術。手術方式包括引流或部分胰腺切除。但手術風險高,通常是最後手段。
治療中,新手常犯的錯誤是過早恢復飲食。急性胰線炎後,醫生通常建議禁食幾天,讓胰腺休息。但有些人感覺不痛了就亂吃,可能導致復發。應該從清流質開始,慢慢過渡到低脂飲食。
胰線炎飲食指南:吃對食物,加速康復
飲食是胰線炎管理的核心。急性期後,飲食要循序漸進:先喝水、清湯,再試米湯、果汁,然後軟質低脂食物如粥、蒸蛋。避免油炸、高脂肪、辛辣食物至少一個月。
慢性胰線炎患者,需要長期低脂飲食。建議多吃蔬菜、水果、全穀類,蛋白質選瘦肉、魚、豆製品。脂肪攝取每天控制在30克以下,具體可以諮詢營養師。
這裡有個非共識觀點:很多人以為胰線炎不能吃任何油,但其實適量健康脂肪(如橄欖油、魚油)是必要的,有助吸收脂溶性維生素。關鍵是量和種類。
我整理一個簡單的飲食清單:
- 推薦食物:白飯、麵條、蒸魚、雞胸肉、豆腐、菠菜、蘋果。
- 避免食物:炸雞、肥肉、奶油、酒精、碳酸飲料。
- 小技巧:少量多餐,減輕胰腺負擔;烹調用蒸、煮、烤代替油炸。
預防胰線炎:生活習慣的關鍵調整
預防勝於治療。要避免胰線炎,首先控制飲酒。男性每天不超過兩杯,女性一杯(一杯指約350毫升啤酒或150毫升葡萄酒)。如果你有膽結石,定期檢查,必要時治療。
保持健康飲食,減少高脂肪食物,多吃纖維。控制血脂和體重,定期運動。如果有糖尿病或高血脂,按醫囑服藥。
還有一點:避免暴飲暴食。節日聚餐時,別一次吃太多油膩食物,慢慢吃,讓胰腺有時間適應。
我自己的習慣是,聚餐後如果覺得腹脹,就喝點溫水,休息一下,避免馬上躺下。這可能沒科學根據,但感覺有幫助。
FAQ:胰線炎常見問題深度解答
總之,胰線炎不是小病,但透過早期發現和正確管理,多數人可以控制得很好。如果你有相關症狀,別猶豫,找專業醫生聊聊。健康是自己的,多了解一點,就多一分保障。