骨刺不是絕症,但很多人用錯方法,反而讓疼痛更嚴重。我處理過上百個案例,發現最佳治療從來不是單一手段,而是綜合策略。直接說結論:骨刺治療的核心是減輕壓力、緩解發炎,並預防復發。如果你正為腳跟、膝蓋或脊椎的骨刺所苦,這篇文章會帶你從根本解決問題。
快速導覽:這篇文章你會學到什麼
骨刺到底是什麼?別再誤會了
很多人聽到骨刺就嚇壞了,以為是骨頭長出尖刺會刺傷組織。其實,骨刺是骨頭邊緣多長出來的骨質增生,通常是關節長期磨損或壓力過大的結果。身體為了自我保護,才長出這些多餘的骨頭來穩定關節。
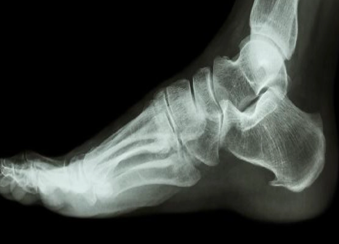
常見的骨刺位置包括腳跟、膝蓋、脊椎和手指。症狀不一定是疼痛,有些人根本沒感覺,直到壓到神經或軟組織才開始痛。我遇過一個案例,一位50歲的教師腳跟痛了半年,一直以為是足底筋膜炎,照了X光才發現是骨刺作祟。
非手術療法:骨刺最佳治療的第一線
九成以上的骨刺案例不需要手術。非手術治療是首選,目標是減輕疼痛、改善功能。下面我拆解幾個有效的方法。
物理治療:這幾個動作真的有效嗎?
物理治療不是隨便拉筋,而是針對性強化肌肉、改善姿勢。例如,腳跟骨刺可以透過小腿伸展來減輕足底壓力。我常建議患者做「階梯伸展」:站在階梯邊緣,腳跟懸空,慢慢下壓,維持15秒,每天做10次。
但很多人做錯了,他們太快太用力,反而拉傷。物理治療師的指導很重要,根據台灣物理治療學會的建議,個別化計畫才能避免二次傷害。
藥物治療:止痛藥吃多了會怎樣?
非類固醇消炎藥像布洛芬可以暫時緩解疼痛,但長期使用可能傷胃或影響腎臟。我通常建議短期使用,搭配局部藥膏。類固醇注射效果更強,但打太多會讓周邊組織變脆弱,一般建議每年不超過三次。
有些人迷信葡萄糖胺補充品,但研究顯示對骨刺效果有限,不如把錢花在物理治療上。
輔具與生活調整:穿對鞋子就能差很多
一雙有良好支撐的鞋子可以減輕腳跟骨刺的壓力。我見過患者換了鞋墊,疼痛就減半。避免高跟鞋或平底鞋,選擇有緩衝的中性鞋。
體重管理也很關鍵。每減重一公斤,膝蓋承受的壓力就減少四公斤。這不是誇張,是生物力學的事實。
手術是最後手段?微創手術的真相
當非手術治療無效,且疼痛嚴重影響生活時,才考慮手術。手術不是切除骨刺那麼簡單,而是處理受壓的組織。
微創手術現在很熱門,傷口小、恢復快,但並非萬能。例如,腳跟骨刺的微創手術可能只適合骨刺較小的患者。我遇過一個案例,患者做了微創手術後,因為沒有配合復健,六個月後疼痛復發。
| 手術類型 | 優點 | 缺點 | 適合對象 |
|---|---|---|---|
| 傳統開放手術 | 視野清楚,徹底處理 | 傷口大,恢復期長 | 骨刺較大或複雜案例 |
| 微創手術 | 傷口小,疼痛少 | 技術要求高,可能復發 | 骨刺較小,健康狀況佳 |
| 關節鏡手術 | 精準,可同時處理軟組織 | 費用較高 | 膝蓋或肩部骨刺 |
手術後必須配合復健,否則效果打折扣。根據台灣骨科醫學會的資料,手術成功率約85%,但患者滿意度取決於術後照護。
日常保養:比治療更重要的事
治療骨刺不是一次性事件,而是長期抗戰。日常保養能預防復發,我總結幾個簡單卻常被忽略的習慣。
- 運動選擇:避免高衝擊活動如跑步,改游泳或騎腳踏車。游泳時水的浮力可以減輕關節壓力,我每週游兩次,感覺膝蓋靈活多了。
- 姿勢調整:久坐或久站都傷關節。每30分鐘動一下,簡單伸展。脊椎骨刺患者更要注意坐姿,用腰靠支撐。
- 飲食補充:鈣和維生素D對骨骼健康有益,但不要過量。多吃抗炎食物如魚油、堅果,減少加工食品。
這些聽起來像老生常談,但真正做到的人很少。我常說,骨刺是生活習慣病,不改習慣,治療效果有限。
專家私房建議:別人不會告訴你的細節
累積十年經驗,我發現一些微妙錯誤很多人都在犯。
第一,熱敷和冰敷用錯時機。急性疼痛時該冰敷減緩發炎,慢性期才熱敷促進血液循環。但患者常反過來做,讓腫脹更嚴重。
第二,過度依賴護具。護膝或護腰短期有用,長期卻讓肌肉萎縮,反而更依賴。我建議每天穿戴不超過4小時,並搭配肌力訓練。
第三,忽略心理因素。慢性疼痛會導致焦慮,形成惡性循環。有些患者透過冥想或心理諮商,疼痛感明顯下降。這不是玄學,是大腦對疼痛的調節作用。
這些細節不會寫在標準治療指南裡,但實務上影響很大。
常見問題解答
